- Tratamientos
- Endodoncia
Endodóncia
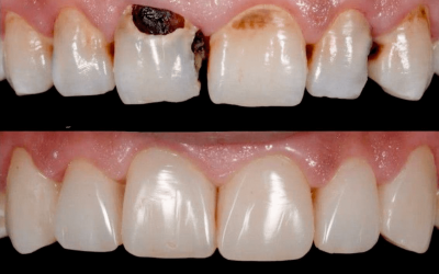
La Endodoncia es el tratamiento dentro de la odontología conservadora que tiene como objetivo salvar el diente cuanto este tiene una lesión importante que afecta a su tejido pulgar o nervio dental.
En ocasiones, estas lesiones cursan con dolor agudo, pero en muchas otras, permanecen de forma asintomática, pudiendo viajar por el torrente sanguíneo y alojarse en otras partes de nuestro organismo. En nuestra clínica insistimos mucho en la necesidad de realizar revisiones dentales periódicas para asegurar no solo el estado de salud oral sino también general.
La endodoncia es un tratamiento complejo que requiere maestría, destreza, conocimiento y experiencia; por ello, dentro de nuestro equipo multidisciplinar, contamos con una especialista que se dedica en exclusividad a hacer este tipo de tratamientos.
Cuando realizamos una endodoncia, accedemos a los conductos de las raíces de los dientes, eliminamos el tejido enfermo y las bacterias que hay en su interior y lo sellamos con un material termoplástico evitando así que se cree una nueva infección.
Es importante saber que los dientes endodonciados se vuelven dientes más frágiles porque debemos vaciarlos por dentro, por lo que tras la endodoncia se valorará que tratamiento restaurador es el más adecuado para protegerlos y evitar posibles fisuras o fracturas futuras.










