- Tratamientos
- Ortodoncia
Ortodoncia
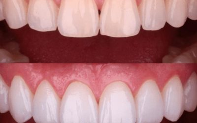
La ortodoncia es la especialidad odontológica que se ocupa de corregir la posición de los dientes y los maxilares mejorando así no solo la estética facial y de la sonrisa, sino también la funcionalidad.
Cualquier persona puede solucionar problemas de maloclusión y malposición dentaria, porque la ortodoncia hace mucho que dejó de ser sólo cosa de niños.
En nuestra clínica te ofrecemos distintas opciones de tratamiento que variarán en función de tus necesidades, tus posibilidades económicas y la recomendación de nuestra especialista después de analizar tu caso de forma individualizada.

TRATAMIENTOS
MEDICINA ESTÉTICA
IMPLANTES DENTALES
ODONTOPEDIATRÍA
ESTÉTICA DENTAL
ENDODONCIA
ODONTOLOGÍA CONSERVADORA
ORTODONCIA
PERIODONCIA
SEDACIÓN









