Implantes dentales en Valencia: Recupera tu sonrisa
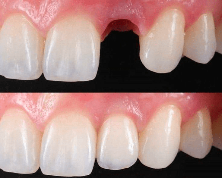
Blog Dra Paula Aguilar IMPLANTES DENTALES en Valencia: RECUPERA TU SONRISA Desde nuestra clínica especialista en implantes dentales en Valencia, sabemos que la salud bucal es un aspecto esencial de nuestra calidad de vida. La sonrisa es una de las expresiones más poderosas de una persona, pero la pérdida de dientes puede afectar tanto la […]
Implantes dentales en Valencia: Recupera tu sonrisa Read More »

